- 2021.02.08
- 骨折 ~足・足指 踵骨骨折~

皆様、おはようございます
非常事態宣言も延長され、いかがお過ごしですか?
歯がゆい生活が続きますが、なるべくストレッチなどで体をほぐし、体調管理をしましょう。
岐阜市六条東にある鍼灸接骨院、
ながの鍼灸接骨院の院長、長野 有高です。
現在、色々な骨折についてご紹介しています
今日、ご紹介するのは、足・足指 踵骨骨折についてご紹介していきます。
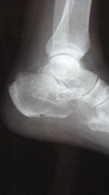
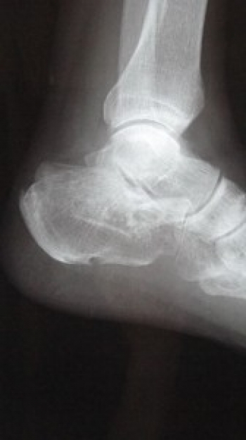
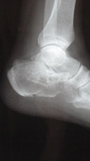
踵骨骨折
踵骨は足根骨の中で最大の骨で、歩行時に最初に接地する部位に位置し、足根骨骨折中もっとも頻度が高い。
距骨などと複雑な形態の関節面を有するため、骨折が生じると関節内骨折を起こしやすい。
また、周囲を腱・神経も多数経過しており、そのため後遺症も起こしやすい。
発生機序により脊椎椎体圧迫骨折も合併することがある
分類は、関節外骨折、関節内骨折がある。
踵骨骨折の発生機序
高所より転落や飛び降りによる直達外力
まれに下腿三頭筋の収縮によるアキレス腱の急激な牽引力によって剥離骨折が起こる。
踵骨骨折の症状
①患側肢で立つことが出来ない
②踵部の腫脹がもっとも強く、足関節部まで波及する
③皮下出血は踵両側や足底に及ぶ
④距腿関節屈伸運動は可能ですが、骨折が距踵関節に及ぶと足の回内回外運動が不可能
⑤踵骨骨体部と隆起部の骨の断たれたものは、足の底屈が強く制限される。
予後は、変形治癒(横径の増大、扁平足)、腓骨筋腱鞘炎、変形性関節症、慢性浮腫、ズディック骨委縮、アキレス腱周囲炎などによるさまざまな荷重時疼痛を残しやすいです。
くれぐれも怪我には注意しましょうね
次回は、足 舟状骨骨折についてお話させてもらいます
体に違和感があるなと思ったら、一人で悩まず、
まずはお電話を 058-213-7927
ご来院をお待ちしております
非常事態宣言も延長され、いかがお過ごしですか?
歯がゆい生活が続きますが、なるべくストレッチなどで体をほぐし、体調管理をしましょう。
岐阜市六条東にある鍼灸接骨院、
ながの鍼灸接骨院の院長、長野 有高です。
現在、色々な骨折についてご紹介しています
今日、ご紹介するのは、足・足指 踵骨骨折についてご紹介していきます。
踵骨骨折
踵骨は足根骨の中で最大の骨で、歩行時に最初に接地する部位に位置し、足根骨骨折中もっとも頻度が高い。
距骨などと複雑な形態の関節面を有するため、骨折が生じると関節内骨折を起こしやすい。
また、周囲を腱・神経も多数経過しており、そのため後遺症も起こしやすい。
発生機序により脊椎椎体圧迫骨折も合併することがある
分類は、関節外骨折、関節内骨折がある。
踵骨骨折の発生機序
高所より転落や飛び降りによる直達外力
まれに下腿三頭筋の収縮によるアキレス腱の急激な牽引力によって剥離骨折が起こる。
踵骨骨折の症状
①患側肢で立つことが出来ない
②踵部の腫脹がもっとも強く、足関節部まで波及する
③皮下出血は踵両側や足底に及ぶ
④距腿関節屈伸運動は可能ですが、骨折が距踵関節に及ぶと足の回内回外運動が不可能
⑤踵骨骨体部と隆起部の骨の断たれたものは、足の底屈が強く制限される。
予後は、変形治癒(横径の増大、扁平足)、腓骨筋腱鞘炎、変形性関節症、慢性浮腫、ズディック骨委縮、アキレス腱周囲炎などによるさまざまな荷重時疼痛を残しやすいです。
くれぐれも怪我には注意しましょうね
次回は、足 舟状骨骨折についてお話させてもらいます
体に違和感があるなと思ったら、一人で悩まず、
まずはお電話を 058-213-7927
ご来院をお待ちしております




