- 2021.02.14
 - 骨折 ~足・足指 舟状骨骨折~
 

								皆様、こんばんわ
今日は、バレンタイン!(^^)!
自分も嫁に患者さまに、いくつか頂けました♪
ありがたや~ありがたや~(*^-^*)
岐阜市六条東にある鍼灸接骨院、
ながの鍼灸接骨院の院長、長野 有高です。
現在、色々な骨折についてご紹介しています
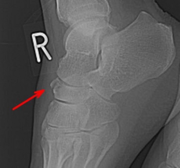
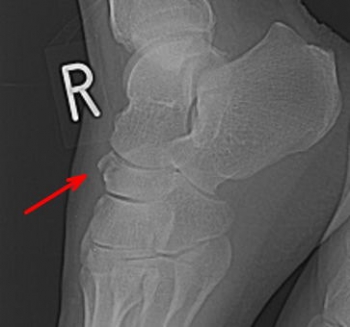
今日、ご紹介するのは、足・足指 舟状骨骨折についてご紹介していきます。
舟状骨骨折
舟状骨骨折の分類
①舟状骨体部骨折
②舟状骨粗面骨折
舟状骨骨折の発生機序
介達外力によるによる発生頻度が高い。
骨体部の骨折は高所より墜落して足部アーチが圧平され、アーチの最高部にある舟状骨が距骨骨頭と喫状骨によって強く圧迫されて骨折する。
背側の骨片は転位し脱臼することが多い。
舟状骨粗面の骨折は、足部の外転により後脛骨筋の牽引力による剥離骨折を起こす。
直達外力によって、上方または下内方の粗面が骨折することがある。
舟状骨骨折の症状
舟状骨部の腫脹
限局性圧痛
骨片突出
第1~3中足骨からの介達痛
荷重痛
歩行困難であるが踵部での歩行は可能
足の回内回外運動の制限
予後は、骨折の仕方にもよりますが、外傷性扁平足を残すと難治の足痛になります。
足の怪我は歩行に関わってきます。骨折したら、しっかり治しましょうね。
次回は、足 立方骨骨折についてお話させてもらいます
体に違和感があるなと思ったら、一人で悩まず、
まずはお電話を 058-213-7927
ご来院をお待ちしております
						今日は、バレンタイン!(^^)!
自分も嫁に患者さまに、いくつか頂けました♪
ありがたや~ありがたや~(*^-^*)
岐阜市六条東にある鍼灸接骨院、
ながの鍼灸接骨院の院長、長野 有高です。
現在、色々な骨折についてご紹介しています
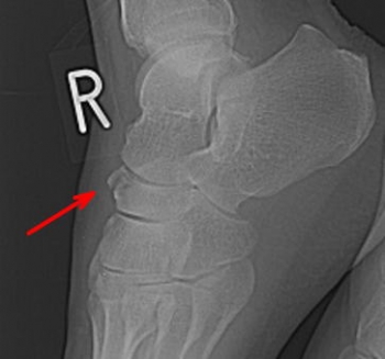
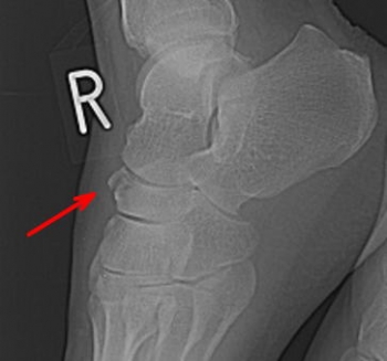
今日、ご紹介するのは、足・足指 舟状骨骨折についてご紹介していきます。
舟状骨骨折
舟状骨骨折の分類
①舟状骨体部骨折
②舟状骨粗面骨折
舟状骨骨折の発生機序
介達外力によるによる発生頻度が高い。
骨体部の骨折は高所より墜落して足部アーチが圧平され、アーチの最高部にある舟状骨が距骨骨頭と喫状骨によって強く圧迫されて骨折する。
背側の骨片は転位し脱臼することが多い。
舟状骨粗面の骨折は、足部の外転により後脛骨筋の牽引力による剥離骨折を起こす。
直達外力によって、上方または下内方の粗面が骨折することがある。
舟状骨骨折の症状
舟状骨部の腫脹
限局性圧痛
骨片突出
第1~3中足骨からの介達痛
荷重痛
歩行困難であるが踵部での歩行は可能
足の回内回外運動の制限
予後は、骨折の仕方にもよりますが、外傷性扁平足を残すと難治の足痛になります。
足の怪我は歩行に関わってきます。骨折したら、しっかり治しましょうね。
次回は、足 立方骨骨折についてお話させてもらいます
体に違和感があるなと思ったら、一人で悩まず、
まずはお電話を 058-213-7927
ご来院をお待ちしております


				

