- 2021.01.18
- 骨折 ~下腿骨骨幹部骨折~

皆様、おはようございます
自粛生活の日々が続いてますが、いかがお過ごしですか?
これだけ自粛生活が続くと体も心も自然と負荷がかかってます。
少しでも体を動かしたり、外の空気を吸って気分転換したりしてくださいね
岐阜市六条東にある鍼灸接骨院、
ながの鍼灸接骨院の院長、長野 有高です。
現在、色々な骨折についてご紹介しています
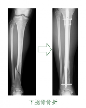
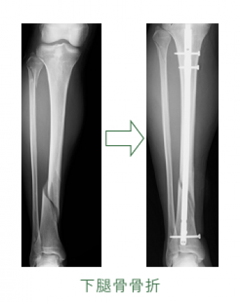
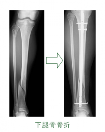
今日、ご紹介するのは、下腿骨骨幹部骨折についてご紹介していきます。
下腿骨骨幹部骨折
交通事故、スポーツ障害としてよくみる骨折です。
ランナー、バスケットボール・バレーボールの選手、うさぎ跳びなどで脛骨または腓骨に疲労骨折がみられる。
下腿骨骨幹部骨折の分類
①脛骨単独骨折ならび脛腓両骨骨折
②腓骨骨幹部骨折
③下腿骨果上骨折
脛骨単独骨折ならび脛腓両骨骨折
脛骨単独骨折よりも脛腓両骨骨折が多い。
多くの骨折は脛骨中・下1/3の境界部に起こり、脛骨が骨折すると腓骨もこれに伴って骨折する。
開放性骨折になりやすく、骨癒合がしにくく、反張下腿などの変形を残すことが多い。
脛骨単独骨折ならび脛腓両骨骨折の発生機序
直達外力
交通事故、高所より墜落、重量物の落下などにより起きる。両骨骨折では、骨折部位がほとんど同高位となる。
介達外力
スポーツ時の転倒や、足部を固定したまま体幹の捻転、足部の捻転強制などにより、ゆるい傾斜の斜骨折や螺旋状骨折を起こす。
脛骨単独骨折ならび脛腓両骨骨折の後遺症
反張下腿、外反・内反下腿などの変形治癒
遷延治癒や偽関節
筋委縮、慢性浮腫など
腓骨骨幹部骨折
腓骨の単独骨折は、脛骨が副子となるので、ほとんど転位しません
主として直達外力
症状としては
局所の腫脹、限局性圧痛、症状が軽微なら歩行が可能。
下腿骨果上骨折
距腿関節の上方、メタフィーゼ付近の骨折
脛骨単独骨折が多いが、腓骨が同時に骨折することも
幼少期にこの部の骨端線離開を起こすこともある。
果部骨折を合併すると症状が複雑。
発生機序
多くは介達外力で、
高所より飛び降り、脛骨に長軸衝撃を受け、同時に側方屈曲が加わる
果上部に外転力
足部が固定されて捻転
症状
骨折部の腫脹、限局性圧痛著明
下腿骨骨幹部の骨折は、年齢というか交通事故、高所からの落下、スポーツなどによるものが多いです。
皆さん、怪我には注意しましょうね
次回は、下腿骨遠位端部の骨折についてお話させてもらいますね
体に違和感があるなと思ったら、一人で悩まず、
まずはお電話を 058-213-7927
ご来院をお待ちしております
自粛生活の日々が続いてますが、いかがお過ごしですか?
これだけ自粛生活が続くと体も心も自然と負荷がかかってます。
少しでも体を動かしたり、外の空気を吸って気分転換したりしてくださいね
岐阜市六条東にある鍼灸接骨院、
ながの鍼灸接骨院の院長、長野 有高です。
現在、色々な骨折についてご紹介しています
今日、ご紹介するのは、下腿骨骨幹部骨折についてご紹介していきます。
下腿骨骨幹部骨折
交通事故、スポーツ障害としてよくみる骨折です。
ランナー、バスケットボール・バレーボールの選手、うさぎ跳びなどで脛骨または腓骨に疲労骨折がみられる。
下腿骨骨幹部骨折の分類
①脛骨単独骨折ならび脛腓両骨骨折
②腓骨骨幹部骨折
③下腿骨果上骨折
脛骨単独骨折ならび脛腓両骨骨折
脛骨単独骨折よりも脛腓両骨骨折が多い。
多くの骨折は脛骨中・下1/3の境界部に起こり、脛骨が骨折すると腓骨もこれに伴って骨折する。
開放性骨折になりやすく、骨癒合がしにくく、反張下腿などの変形を残すことが多い。
脛骨単独骨折ならび脛腓両骨骨折の発生機序
直達外力
交通事故、高所より墜落、重量物の落下などにより起きる。両骨骨折では、骨折部位がほとんど同高位となる。
介達外力
スポーツ時の転倒や、足部を固定したまま体幹の捻転、足部の捻転強制などにより、ゆるい傾斜の斜骨折や螺旋状骨折を起こす。
脛骨単独骨折ならび脛腓両骨骨折の後遺症
反張下腿、外反・内反下腿などの変形治癒
遷延治癒や偽関節
筋委縮、慢性浮腫など
腓骨骨幹部骨折
腓骨の単独骨折は、脛骨が副子となるので、ほとんど転位しません
主として直達外力
症状としては
局所の腫脹、限局性圧痛、症状が軽微なら歩行が可能。
下腿骨果上骨折
距腿関節の上方、メタフィーゼ付近の骨折
脛骨単独骨折が多いが、腓骨が同時に骨折することも
幼少期にこの部の骨端線離開を起こすこともある。
果部骨折を合併すると症状が複雑。
発生機序
多くは介達外力で、
高所より飛び降り、脛骨に長軸衝撃を受け、同時に側方屈曲が加わる
果上部に外転力
足部が固定されて捻転
症状
骨折部の腫脹、限局性圧痛著明
下腿骨骨幹部の骨折は、年齢というか交通事故、高所からの落下、スポーツなどによるものが多いです。
皆さん、怪我には注意しましょうね
次回は、下腿骨遠位端部の骨折についてお話させてもらいますね
体に違和感があるなと思ったら、一人で悩まず、
まずはお電話を 058-213-7927
ご来院をお待ちしております




