ごあいさつ

HOME > 骨折 〜足・足指 足指骨骨折〜
  • 2021.03.14 骨折 〜足・足指 足指骨骨折〜
皆様、こんばんわ
今日はホワイトデーですね
いくつか私もお返しをさせてもらいました
日頃からお世話になっている患者様からも貰えることは本当に有難いことです。
これからも頑張りますので、宜しくお願いします。
岐阜市六条東にある鍼灸接骨院、
ながの鍼灸接骨院の院長、長野 有高です。

現在、色々な骨折についてご紹介しています


今日、ご紹介するのは、足・足指 足指骨骨折についてご紹介していきます。

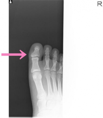
足・足指 足指骨とは

足指骨は、四肢動物の後肢の先端部にある、足の指を構成する骨の集合です。

基節骨・中節骨・末節骨で構成される骨の集合で、動物の手足において、指に相当する部分を構成している。

手足の中心部分を構成する中手骨・中足骨とは基節骨が接し、中節骨、末節骨の順に繋がっています。


足指骨骨折

足指骨骨折の発生機序

直達外力では、重量物の落下が多い


介達外力では足尖から衝撃が加わり発生。


足指骨骨折の症状

骨折指の腫脹

限局性圧痛

骨長軸からの軸圧痛

荷重痛

異常可動性

軋轢音




基節骨骨折、とくに第1、2指は足底凸の変形が残り、荷重および歩行障害が起こりやすいです。

足の怪我は歩行に関わってきます。骨折したら、しっかり治しましょうね。

次回は、軟部組織損傷についてお話させてもらいます

体に違和感があるなと思ったら、一人で悩まず、
まずはお電話を 058−213−7927

ご来院をお待ちしております
前の記事 次の記事 記事一覧へ

▲ページのトップに戻る

サービス紹介!

接骨について

骨折、脱臼、捻挫、打撲などの外傷から、寝違い、五十肩、膝痛、腰の痛みまで、まずはご相談ください。

鍼灸治療について

肩こり、腰痛、膝痛から頭痛、便秘、下痢、冷え性、足のむくみ、眼精疲労等まで、鍼灸でお悩みを解決します。

女性に人気について

耳ツボダイエットや顔マッサージ&鍼、骨盤矯正、吸玉など、女性に人気のサービスも行っております。

もしも、交通事故に遭ってしまったら

  • よくある質問
  • 患者様の声
  • 初めての方へ
  • ブログ
  • 初めての方へお得な特典 はりきゅう無料または粗品プレゼント

ながの鍼灸接骨院

〒500-8353
岐阜県岐阜市六条東1丁目2番地22

営業時間
平日 午前 / 8:30〜12:00
    午後 / 15:30〜20:00
土曜 午前 / 8:30〜12:00
    午後 / 14:00〜17:00 

定休日
水曜午後、日曜、祝日

電話番号
058-213-7927

詳しくはこちら