ごあいさつ

HOME > 骨折 〜足・足指 中足骨骨折〜
  • 2021.03.07 骨折 〜足・足指 中足骨骨折〜
皆様、こんばんわ
3月に入り、ひな祭りの時期でしたね
私は、娘が二人いますので、無事、祝うことが出来ました(*^-^*)
大きく成長してほしいものです!(^^)!親ばかでした(笑)
岐阜市六条東にある鍼灸接骨院、
ながの鍼灸接骨院の院長、長野 有高です。

現在、色々な骨折についてご紹介しています


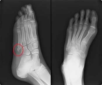
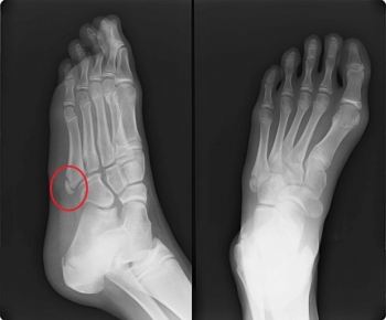
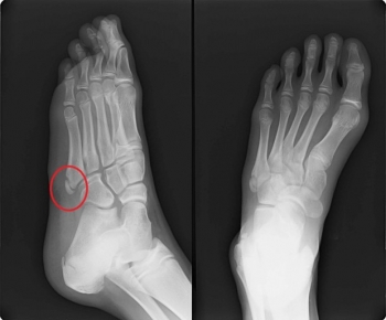
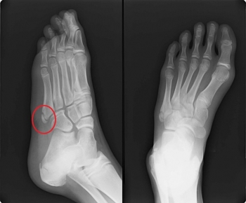
今日、ご紹介するのは、足・足指 中足骨骨折についてご紹介していきます。

足・足指 中足骨とは

ヒトの中足骨は、左右の足根骨の遠位に5本ずつ存在する細長い管状骨で、趾節骨より長く、内側から外側へ向けて第1 - 第5趾と対応して、第1中足骨、第2中足骨、第3中足骨、第4中足骨、第5中足骨と呼ばれます。

第1中足骨が最も短く、最も太い。第2中足骨が最も長い。第3、第4、第5中足骨の順で短くなる。中足骨は中足骨頭(遠位端)・中足骨底(近位端)・中足骨体(骨幹部)の3つの部分に分けられます。


中足骨骨折

中足骨骨骨折の発生機序

直達外力では、重量物の落下、轢過などによる


介達外力では踏み外し時の内がえし外力による短腓骨筋の急激な収縮による第5中足骨基底部剥離骨折(下駄骨折と呼ばれる)が代表的です

スポーツに基づく反復外力により、第2・3中足骨骨幹部に疲労骨折を起こすこともあります。

第5中足骨近位骨幹部での骨折はジョーンズと呼ばれ、遷延治癒や偽関節になりやすい。


中足骨骨折の症状

腫脹

限局性圧痛

骨長軸からの軸圧痛

荷重痛

前足部の横径増大




中足骨の骨折は、外傷性扁平足になりやすいです。足底板を入れて、今後の歩行痛を防止しましょうね

足の怪我は歩行に関わってきます。骨折したら、しっかり治しましょうね。

次回は、足 足指骨骨折についてお話させてもらいます

体に違和感があるなと思ったら、一人で悩まず、
まずはお電話を 058−213−7927

ご来院をお待ちしております
前の記事 次の記事 記事一覧へ

▲ページのトップに戻る

サービス紹介!

接骨について

骨折、脱臼、捻挫、打撲などの外傷から、寝違い、五十肩、膝痛、腰の痛みまで、まずはご相談ください。

鍼灸治療について

肩こり、腰痛、膝痛から頭痛、便秘、下痢、冷え性、足のむくみ、眼精疲労等まで、鍼灸でお悩みを解決します。

女性に人気について

耳ツボダイエットや顔マッサージ&鍼、骨盤矯正、吸玉など、女性に人気のサービスも行っております。

もしも、交通事故に遭ってしまったら

  • よくある質問
  • 患者様の声
  • 初めての方へ
  • ブログ
  • 初めての方へお得な特典 はりきゅう無料または粗品プレゼント

ながの鍼灸接骨院

〒500-8353
岐阜県岐阜市六条東1丁目2番地22

営業時間
平日 午前 / 8:30〜12:00
    午後 / 15:30〜20:00
土曜 午前 / 8:30〜12:00
    午後 / 14:00〜17:00 

定休日
水曜午後、日曜、祝日

電話番号
058-213-7927

詳しくはこちら