¤´¤¢¤¤¤µ¤Ä

HOME > ¹üÀÞ¡¡¡Á­¡¦Â­»Ø¡¡½®¾õ¹ü¹üÀÞ¡Á
  • 2021.02.14 ¹üÀÞ¡¡¡Á­¡¦Â­»Ø¡¡½®¾õ¹ü¹üÀÞ¡Á
³§ÍÍ¡¢¤³¤ó¤Ð¤ó¤ï
º£Æü¤Ï¡¢¥Ð¥ì¥ó¥¿¥¤¥ó!(^^)!
¼«Ê¬¤â²Ç¤Ë´µ¼Ô¤µ¤Þ¤Ë¡¢¤¤¤¯¤Ä¤«Äº¤±¤Þ¤·¤¿¢ö
¤¢¤ê¤¬¤¿¤ä¡Á¤¢¤ê¤¬¤¿¤ä¡Á(*^-^*)
´ôÉì»ÔÏ»¾òÅì¤Ë¤¢¤ë蝹äÀܹü±¡¡¢
¤Ê¤¬¤Î蝹äÀܹü±¡¤Î±¡Ä¹¡¢Ä¹Ìî¡¡Í­¹â¤Ç¤¹¡£

¸½ºß¡¢¿§¡¹¤Ê¹üÀޤˤĤ¤¤Æ¤´¾Ò²ð¤·¤Æ¤¤¤Þ¤¹


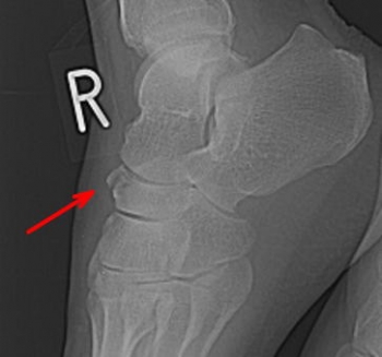
º£Æü¡¢¤´¾Ò²ð¤¹¤ë¤Î¤Ï¡¢Â­¡¦Â­»Ø¡¡½®¾õ¹ü¹üÀޤˤĤ¤¤Æ¤´¾Ò²ð¤·¤Æ¤¤¤­¤Þ¤¹¡£

½®¾õ¹ü¹üÀÞ

½®¾õ¹ü¹üÀÞ¤ÎʬÎà

­¡½®¾õ¹üÂÎÉô¹üÀÞ

­¢½®¾õ¹üÁÆÌ̹üÀÞ


½®¾õ¹ü¹üÀÞ¤ÎȯÀ¸µ¡½ø

²ðã³°ÎϤˤè¤ë¤Ë¤è¤ëȯÀ¸ÉÑÅÙ¤¬¹â¤¤¡£

¹üÂÎÉô¤Î¹üÀޤϹâ½ê¤è¤êÄÆÍ¤ÆÂ­Éô¥¢¡¼¥Á¤¬°µÊ¿¤µ¤ì¡¢¥¢¡¼¥Á¤ÎºÇ¹âÉô¤Ë¤¢¤ë½®¾õ¹ü¤¬µ÷¹ü¹üƬ¤ÈµÊ¾õ¹ü¤Ë¤è¤Ã¤Æ¶¯¤¯°µÇ÷¤µ¤ì¤Æ¹üÀÞ¤¹¤ë¡£
ÇØÂ¦¤Î¹üÊҤϞ°Ì¤·Ã¦±±¤¹¤ë¤³¤È¤¬Â¿¤¤¡£

½®¾õ¹üÁÆÌ̤ιüÀޤϡ¢Â­Éô¤Î³°Å¾¤Ë¤è¤ê¸åæú¹ü¶Ú¤Î¸£°úÎϤˤè¤ëÇíÎ¥¹üÀÞ¤òµ¯¤³¤¹¡£
ľã³°ÎϤˤè¤Ã¤Æ¡¢¾åÊý¤Þ¤¿¤Ï²¼ÆâÊý¤ÎÁÆÌ̤¬¹üÀÞ¤¹¤ë¤³¤È¤¬¤¢¤ë¡£


½®¾õ¹ü¹üÀޤξɾõ

½®¾õ¹üÉô¤Î¼ðı

¸Â¶ÉÀ­°µÄË

¹üÊÒÆÍ½Ð

Â裱¡Á£³ÃæÂ­¹ü¤«¤é¤Î²ðãÄË

²Ù½ÅÄË

Êâ¹Ôº¤Æñ¤Ç¤¢¤ë¤¬ìûÉô¤Ç¤ÎÊâ¹Ô¤Ï²Äǽ

­¤Î²óÆâ²ó³°±¿Æ°¤ÎÀ©¸Â




ͽ¸å¤Ï¡¢¹üÀޤλÅÊý¤Ë¤â¤è¤ê¤Þ¤¹¤¬¡¢³°½ýÀ­Ù¨Ê¿Â­¤ò»Ä¤¹¤ÈÆñ¼£¤Î­Äˤˤʤê¤Þ¤¹¡£
­¤Î²ø²æ¤ÏÊâ¹Ô¤Ë´Ø¤ï¤Ã¤Æ¤­¤Þ¤¹¡£¹üÀÞ¤·¤¿¤é¡¢¤·¤Ã¤«¤ê¼£¤·¤Þ¤·¤ç¤¦¤Í¡£

¼¡²ó¤Ï¡¢Â­¡¡Î©Êý¹ü¹üÀޤˤĤ¤¤Æ¤ªÏ䵤»¤Æ¤â¤é¤¤¤Þ¤¹

ÂΤ˰ãÏ´¶¤¬¤¢¤ë¤Ê¤È»×¤Ã¤¿¤é¡¢°ì¿Í¤ÇǺ¤Þ¤º¡¢
¤Þ¤º¤Ï¤ªÅÅÏäò¡¡£°£µ£¸¡Ý£²£±£³¡Ý£·£¹£²£·

¤´Í象¤ò¤ªÂÔ¤Á¤·¤Æ¤ª¤ê¤Þ¤¹
Á°¤Îµ­»ö ¼¡¤Îµ­»ö µ­»ö°ìÍ÷¤Ø

¢¥¥Ú¡¼¥¸¤Î¥È¥Ã¥×¤ËÌá¤ë

¥µ¡¼¥Ó¥¹¾Ò²ð¡ª

Àܹü¤Ë¤Ä¤¤¤Æ

¹üÀÞ¡¢Ã¦±±¡¢Ç±ºÃ¡¢ÂÇËФʤɤγ°½ý¤«¤é¡¢¿²°ã¤¤¡¢¸Þ½½¸ª¡¢É¨ÄË¡¢¹ø¤ÎÄˤߤޤǡ¢¤Þ¤º¤Ï¤´ÁêÃ̤¯¤À¤µ¤¤¡£

蝹伣ÎŤˤĤ¤¤Æ

¸ª¤³¤ê¡¢¹øÄË¡¢É¨Äˤ«¤éƬÄË¡¢ÊØÈë¡¢²¼Î¡¡¢Î䤨À­¡¢Â­¤Î¤à¤¯¤ß¡¢´ãÀºÈèÏ«Åù¤Þ¤Ç¡¢ïªµä¤Ç¤ªÇº¤ß¤ò²ò·è¤·¤Þ¤¹¡£

½÷À­¤Ë¿Íµ¤¤Ë¤Ä¤¤¤Æ

¼ª¥Ä¥Ü¥À¥¤¥¨¥Ã¥È¤ä´é¥Þ¥Ã¥µ¡¼¥¸¡õ瑱¢¹üÈ×¶ºÀµ¡¢µÛ¶Ì¤Ê¤É¡¢½÷À­¤Ë¿Íµ¤¤Î¥µ¡¼¥Ó¥¹¤â¹Ô¤Ã¤Æ¤ª¤ê¤Þ¤¹¡£

¤â¤·¤â¡¢¸òÄÌ»ö¸Î¤ËÁø¤Ã¤Æ¤·¤Þ¤Ã¤¿¤é

  • ¤è¤¯¤¢¤ë¼ÁÌä
  • ´µ¼ÔÍͤÎÀ¼
  • ½é¤á¤Æ¤ÎÊý¤Ø
  • ¥Ö¥í¥°
  • ½é¤á¤Æ¤ÎÊý¤Ø¤ªÆÀ¤ÊÆÃŵ ¤Ï¤ê¤­¤å¤¦ÌµÎÁ¤Þ¤¿¤ÏÁÆÉʥץ쥼¥ó¥È

¤Ê¤¬¤Î蝹äÀܹü±¡

¢©500-8353
´ôÉ츩´ôÉì»ÔÏ»¾òÅì1ÃúÌÜ2ÈÖÃÏ22

±Ä¶È»þ´Ö
Ê¿Æü ¸áÁ° / 8:30¡Á12:00
¡¡¡¡¡¡ ¸á¸å / 15:30¡Á20:00
ÅÚÍË ¸áÁ° / 8:30¡Á12:00
¡¡¡¡¡¡ ¸á¸å / 14:00¡Á17:00¡¡

ÄêµÙÆü
¿åÍ˸á¸å¡¢ÆüÍË¡¢½ËÆü

ÅÅÏÃÈÖ¹æ
058-213-7927

¾Ü¤·¤¯¤Ï¤³¤Á¤é