¤´¤¢¤¤¤µ¤Ä

HOME > ¹üÀÞ¡¡¡Á­¡¦Â­»Ø¡¡ìû¹ü¹üÀÞ¡Á
  • 2021.02.08 ¹üÀÞ¡¡¡Á­¡¦Â­»Ø¡¡ìû¹ü¹üÀÞ¡Á
³§ÍÍ¡¢¤ª¤Ï¤è¤¦¤´¤¶¤¤¤Þ¤¹
Èó¾ï»öÂÖÀë¸À¤â±äŤµ¤ì¡¢¤¤¤«¤¬¤ª²á¤´¤·¤Ç¤¹¤«¡©
»õ¤¬¤æ¤¤À¸³è¤¬Â³¤­¤Þ¤¹¤¬¡¢¤Ê¤ë¤Ù¤¯¥¹¥È¥ì¥Ã¥Á¤Ê¤É¤ÇÂΤò¤Û¤°¤·¡¢ÂÎÄ´´ÉÍý¤ò¤·¤Þ¤·¤ç¤¦¡£
´ôÉì»ÔÏ»¾òÅì¤Ë¤¢¤ë蝹äÀܹü±¡¡¢
¤Ê¤¬¤Î蝹äÀܹü±¡¤Î±¡Ä¹¡¢Ä¹Ìî¡¡Í­¹â¤Ç¤¹¡£

¸½ºß¡¢¿§¡¹¤Ê¹üÀޤˤĤ¤¤Æ¤´¾Ò²ð¤·¤Æ¤¤¤Þ¤¹


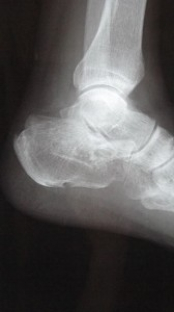
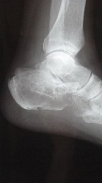
º£Æü¡¢¤´¾Ò²ð¤¹¤ë¤Î¤Ï¡¢Â­¡¦Â­»Ø¡¡ìû¹ü¹üÀޤˤĤ¤¤Æ¤´¾Ò²ð¤·¤Æ¤¤¤­¤Þ¤¹¡£

ìû¹ü¹üÀÞ

ìû¹ü¤Ï­º¬¹ü¤ÎÃæ¤ÇºÇÂç¤Î¹ü¤Ç¡¢Êâ¹Ô»þ¤ËºÇ½é¤ËÀÜÃϤ¹¤ëÉô°Ì¤Ë°ÌÃÖ¤·¡¢Â­º¬¹ü¹üÀÞÃæ¤â¤Ã¤È¤âÉÑÅÙ¤¬¹â¤¤¡£

µ÷¹ü¤Ê¤É¤ÈÊ£»¨¤Ê·ÁÂ֤δØÀáÌ̤òÍ­¤¹¤ë¤¿¤á¡¢¹üÀÞ¤¬À¸¤¸¤ë¤È´ØÀáÆâ¹üÀÞ¤òµ¯¤³¤·¤ä¤¹¤¤¡£

¤Þ¤¿¡¢¼þ°Ï¤òç§¡¦¿À·Ð¤â¿¿ô·Ð²á¤·¤Æ¤ª¤ê¡¢¤½¤Î¤¿¤á¸å°ä¾É¤âµ¯¤³¤·¤ä¤¹¤¤¡£

ȯÀ¸µ¡½ø¤Ë¤è¤êÀÔÄÇÄÇÂΰµÇ÷¹üÀÞ¤â¹çÊ»¤¹¤ë¤³¤È¤¬¤¢¤ë

ʬÎà¤Ï¡¢´ØÀá³°¹üÀÞ¡¢´ØÀáÆâ¹üÀÞ¤¬¤¢¤ë¡£


ìû¹ü¹üÀÞ¤ÎȯÀ¸µ¡½ø

¹â½ê¤è¤êžÍî¤äÈô¤Ó¹ß¤ê¤Ë¤è¤ëľã³°ÎÏ

¤Þ¤ì¤Ë²¼ÂÜ»°Æ¬¶Ú¤Î¼ý½Ì¤Ë¤è¤ë¥¢¥­¥ì¥¹ç§¤ÎµÞ·ã¤Ê¸£°úÎϤˤè¤Ã¤ÆÇíÎ¥¹üÀÞ¤¬µ¯¤³¤ë¡£


ìû¹ü¹üÀޤξɾõ

­¡´µÂ¦»è¤ÇΩ¤Ä¤³¤È¤¬½ÐÍè¤Ê¤¤

­¢ìûÉô¤Î¼ðı¤¬¤â¤Ã¤È¤â¶¯¤¯¡¢Â­´ØÀáÉô¤Þ¤ÇÇȵڤ¹¤ë

­£Èé²¼½Ð·ì¤Ïìûä­Äì¤ËµÚ¤Ö

­¤µ÷ÂÜ´ØÀá¶þ¿­±¿Æ°¤Ï²Äǽ¤Ç¤¹¤¬¡¢¹üÀÞ¤¬µ÷ìû´ØÀá¤ËµÚ¤Ö¤È­¤Î²óÆâ²ó³°±¿Æ°¤¬ÉÔ²Äǽ

­¥ìû¹ü¹üÂÎÉô¤Èδµ¯Éô¤Î¹ü¤ÎÃǤ¿¤ì¤¿¤â¤Î¤Ï¡¢Â­¤ÎÄì¶þ¤¬¶¯¤¯À©¸Â¤µ¤ì¤ë¡£



ͽ¸å¤Ï¡¢ÊÑ·Á¼£Ìþ¡Ê²£·Â¤ÎÁýÂ硢٨ʿ­¡Ë¡¢ç¤¹ü¶Úç§¾ä±ê¡¢ÊÑ·ÁÀ­´ØÀá¾É¡¢ËýÀ­Éâ¼ð¡¢¥º¥Ç¥£¥Ã¥¯¹ü°Ñ½Ì¡¢¥¢¥­¥ì¥¹ç§¼þ°Ï±ê¤Ê¤É¤Ë¤è¤ë¤µ¤Þ¤¶¤Þ¤Ê²Ù½Å»þáÖÄˤò»Ä¤·¤ä¤¹¤¤¤Ç¤¹¡£
¤¯¤ì¤°¤ì¤â²ø²æ¤Ë¤ÏÃí°Õ¤·¤Þ¤·¤ç¤¦¤Í


¼¡²ó¤Ï¡¢Â­¡¡½®¾õ¹ü¹üÀޤˤĤ¤¤Æ¤ªÏ䵤»¤Æ¤â¤é¤¤¤Þ¤¹

ÂΤ˰ãÏ´¶¤¬¤¢¤ë¤Ê¤È»×¤Ã¤¿¤é¡¢°ì¿Í¤ÇǺ¤Þ¤º¡¢
¤Þ¤º¤Ï¤ªÅÅÏäò¡¡£°£µ£¸¡Ý£²£±£³¡Ý£·£¹£²£·

¤´Í象¤ò¤ªÂÔ¤Á¤·¤Æ¤ª¤ê¤Þ¤¹
Á°¤Îµ­»ö ¼¡¤Îµ­»ö µ­»ö°ìÍ÷¤Ø

¢¥¥Ú¡¼¥¸¤Î¥È¥Ã¥×¤ËÌá¤ë

¥µ¡¼¥Ó¥¹¾Ò²ð¡ª

Àܹü¤Ë¤Ä¤¤¤Æ

¹üÀÞ¡¢Ã¦±±¡¢Ç±ºÃ¡¢ÂÇËФʤɤγ°½ý¤«¤é¡¢¿²°ã¤¤¡¢¸Þ½½¸ª¡¢É¨ÄË¡¢¹ø¤ÎÄˤߤޤǡ¢¤Þ¤º¤Ï¤´ÁêÃ̤¯¤À¤µ¤¤¡£

蝹伣ÎŤˤĤ¤¤Æ

¸ª¤³¤ê¡¢¹øÄË¡¢É¨Äˤ«¤éƬÄË¡¢ÊØÈë¡¢²¼Î¡¡¢Î䤨À­¡¢Â­¤Î¤à¤¯¤ß¡¢´ãÀºÈèÏ«Åù¤Þ¤Ç¡¢ïªµä¤Ç¤ªÇº¤ß¤ò²ò·è¤·¤Þ¤¹¡£

½÷À­¤Ë¿Íµ¤¤Ë¤Ä¤¤¤Æ

¼ª¥Ä¥Ü¥À¥¤¥¨¥Ã¥È¤ä´é¥Þ¥Ã¥µ¡¼¥¸¡õ瑱¢¹üÈ×¶ºÀµ¡¢µÛ¶Ì¤Ê¤É¡¢½÷À­¤Ë¿Íµ¤¤Î¥µ¡¼¥Ó¥¹¤â¹Ô¤Ã¤Æ¤ª¤ê¤Þ¤¹¡£

¤â¤·¤â¡¢¸òÄÌ»ö¸Î¤ËÁø¤Ã¤Æ¤·¤Þ¤Ã¤¿¤é

  • ¤è¤¯¤¢¤ë¼ÁÌä
  • ´µ¼ÔÍͤÎÀ¼
  • ½é¤á¤Æ¤ÎÊý¤Ø
  • ¥Ö¥í¥°
  • ½é¤á¤Æ¤ÎÊý¤Ø¤ªÆÀ¤ÊÆÃŵ ¤Ï¤ê¤­¤å¤¦ÌµÎÁ¤Þ¤¿¤ÏÁÆÉʥץ쥼¥ó¥È

¤Ê¤¬¤Î蝹äÀܹü±¡

¢©500-8353
´ôÉ츩´ôÉì»ÔÏ»¾òÅì1ÃúÌÜ2ÈÖÃÏ22

±Ä¶È»þ´Ö
Ê¿Æü ¸áÁ° / 8:30¡Á12:00
¡¡¡¡¡¡ ¸á¸å / 15:30¡Á20:00
ÅÚÍË ¸áÁ° / 8:30¡Á12:00
¡¡¡¡¡¡ ¸á¸å / 14:00¡Á17:00¡¡

ÄêµÙÆü
¿åÍ˸á¸å¡¢ÆüÍË¡¢½ËÆü

ÅÅÏÃÈÖ¹æ
058-213-7927

¾Ü¤·¤¯¤Ï¤³¤Á¤é