ごあいさつ

HOME > 肘痛 〜変形性肘関節症〜
  • 2017.04.24 肘痛 〜変形性肘関節症〜
皆さま、おはようございます。
ヒノキの花粉がいっぱい飛んで、あちらこち花粉症の方がお見えに。。。(*_*;
辛いですよね。
岐阜市六条東にある鍼灸接骨院、
ながの鍼灸接骨院の院長、長野 有高です。

今日は、肘の筋肉の障害、神経の障害、肘の骨折に続いて、肘の変形についてお話しますね。

肘の病気、第8回目は変形性肘関節症です。

変形性肘関節症

変形性肘関節症は、言葉の通り、肘の変形が原因で痛くなります。

50〜60歳代から発症することが多くみられます。

肘関節の間には関節軟骨に覆われており、衝撃を緩和するクッションの役目を果たしています。

その関節軟骨が肘の使いすぎによりすり減ると、肘に痛みを感じたり、骨と骨がぶつかり合って骨のトゲ(骨棘)ができるなどの症状が出ます。

変形性肘関節症の原因

肉体労働を続けたことによる肘関節の使い過ぎ

野球やテニス、いわゆる野球肘やテニス肘などが原因

ケガや先天性の異常によって発症する

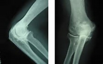
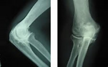
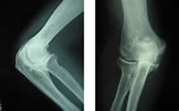
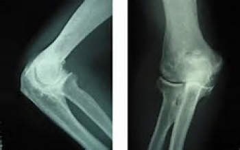
変形性肘関節症の診断

問診(職業の他、運動の経験などの問診)、診察、X線検査などを行います。

X線撮影で骨の変形具合を確認します。

関節リウマチや神経の病気との鑑別が必要になります。

変形性肘関節症の症状

肘の変形

肘の痛み(洗顔や歯磨き、着替えなど日常生活動作が困難になる)

肘の変形によって発生した骨棘が尺骨神経を傷つけることにより、小指が痺れる、握力が低下することもあります(肘部管症候群



50歳〜60歳の働き盛りの方!もしも肘が痛いなと思われたら、変形性肘関節症かもしれません!

肘に違和感があるなと思ったら、一人で悩まず、
まずはお電話を 058−213−7927

ご来院をお待ちしております
前の記事 次の記事 記事一覧へ

▲ページのトップに戻る

サービス紹介!

接骨について

骨折、脱臼、捻挫、打撲などの外傷から、寝違い、五十肩、膝痛、腰の痛みまで、まずはご相談ください。

鍼灸治療について

肩こり、腰痛、膝痛から頭痛、便秘、下痢、冷え性、足のむくみ、眼精疲労等まで、鍼灸でお悩みを解決します。

女性に人気について

耳ツボダイエットや顔マッサージ&鍼、骨盤矯正、吸玉など、女性に人気のサービスも行っております。

もしも、交通事故に遭ってしまったら

  • よくある質問
  • 患者様の声
  • 初めての方へ
  • ブログ
  • 初めての方へお得な特典 はりきゅう無料または粗品プレゼント

ながの鍼灸接骨院

〒500-8353
岐阜県岐阜市六条東1丁目2番地22

営業時間
平日 午前 / 8:30〜12:00
    午後 / 15:30〜20:00
土曜 午前 / 8:30〜12:00
    午後 / 14:00〜17:00 

定休日
水曜午後、日曜、祝日

電話番号
058-213-7927

詳しくはこちら