ごあいさつ

HOME > 肘痛 〜上腕骨顆上骨折〜
  • 2017.04.17 肘痛 〜上腕骨顆上骨折〜
皆さま、こんにちは。
雨もよく降り、桜も散り、花粉はいっぱい飛び、なんだか体が重くなっていませんか?
岐阜市六条東にある鍼灸接骨院、
ながの鍼灸接骨院の院長、長野 有高です。

最近、肘の病気についてお話してますが、どうですか?
筋肉の障害、神経の障害でも、色々な病気がありますよね。。

今日は、肘の筋肉の障害、神経の障害に続いて、骨折のお話しますね。

肘の病気、第7回目は上腕骨顆上骨折です。

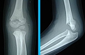
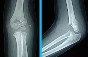
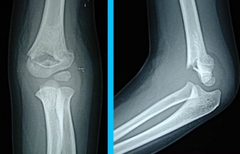
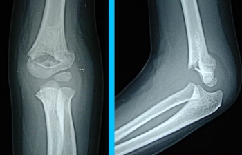
上腕骨顆上骨折

上腕骨顆上骨折は、上腕骨の遠位端部分(肘の近く)の骨折です。
子供が転倒した時に、腕を伸ばして手を衝くことで、肘に急激な伸展力が加わって骨折したり、肘を屈曲した状態で、肘を衝いた際、骨折する場合があります。
子供に多い骨折のひとつです。

そして、しっかり治さないと後遺症が残ったりするので、治療のむずかしい骨折です。

上腕骨顆上骨折の診断

X線写真が必要です

上腕骨内顆骨折、上腕骨外顆骨折など、類似した骨折もありますし、骨折の折れ方も程度がありますので、必ずX線写真を撮ってください

上腕骨顆上骨折の状態

肘の腫脹、痛み、皮下出血、限局性圧痛、骨折部の異常な可動性・軋轢音が出ます。
骨折部には神経や血管が通っていますので、神経や血管に損傷があると手首の脈拍が弱くなり、手や指のしびれ感、異常感覚、運動障害が起こります。

上腕骨顆上骨折の後遺症

神経の痺れ

フォルクマン拘縮(阻血性拘縮)

四肢の筋肉、血管、神経組織は、筋膜や骨間膜などによって囲まれており、この閉鎖空間をコンパートメントといいます。
外傷などによりコンパートメント内の組織圧が上昇して循環不全を生じ、筋肉、神経組織の壊死(えし)を来してくる病気をコンパートメント症候群といいます。これが前腕屈側に生じたものをフォルクマン拘縮(阻血性拘縮)と呼びます。

内反肘変形

上腕軸と前腕軸が肘関節で一直線にならず,内方 (尺側) に開いてしまう変形です



上腕骨顆上骨折はしっかり治さないと、後遺症が残る難しい病気です。
必ず、病院でレントゲンを撮ってください

もしも、子供が手をついて、肘が腫れてきたら、上腕骨顆上骨折も疑ってくださいね。

肘に違和感があるなと思ったら、一人で悩まず、
まずはお電話を 058−213−7927

ご来院をお待ちしております
前の記事 次の記事 記事一覧へ

▲ページのトップに戻る

サービス紹介!

接骨について

骨折、脱臼、捻挫、打撲などの外傷から、寝違い、五十肩、膝痛、腰の痛みまで、まずはご相談ください。

鍼灸治療について

肩こり、腰痛、膝痛から頭痛、便秘、下痢、冷え性、足のむくみ、眼精疲労等まで、鍼灸でお悩みを解決します。

女性に人気について

耳ツボダイエットや顔マッサージ&鍼、骨盤矯正、吸玉など、女性に人気のサービスも行っております。

もしも、交通事故に遭ってしまったら

  • よくある質問
  • 患者様の声
  • 初めての方へ
  • ブログ
  • 初めての方へお得な特典 はりきゅう無料または粗品プレゼント

ながの鍼灸接骨院

〒500-8353
岐阜県岐阜市六条東1丁目2番地22

営業時間
平日 午前 / 8:30〜12:00
    午後 / 15:30〜20:00
土曜 午前 / 8:30〜12:00
    午後 / 14:00〜17:00 

定休日
水曜午後、日曜、祝日

電話番号
058-213-7927

詳しくはこちら