- 2020.07.13
- 骨折 ~鎖骨~

皆様、おはようございます
雨が続き土砂崩れなど被害が起きてますね
コロナに大雨。。。
皆さん、めげずに頑張りましょう。
岐阜市六条東にある鍼灸接骨院、
ながの鍼灸接骨院の院長、長野 有高です。
前回までに頭部、顔面、胸部,、脊椎の骨折についてお話させてもらいました
今日、ご紹介するのは、鎖骨の骨折についてご紹介していきたいと思います。
鎖骨とは
鎖骨は、胸部の上部に左右にあり、胸骨と肩甲骨を連結させて肩構造を支持しています。
内側端で胸骨と関節し(胸鎖関節)、外側端で肩甲骨と関節し(肩鎖関節)をなします。
鎖骨から起始する筋肉は、胸鎖乳突筋、三角筋、大胸筋
鎖骨に停止する筋肉は、鎖骨下筋、僧帽筋 があります。
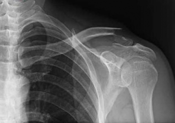
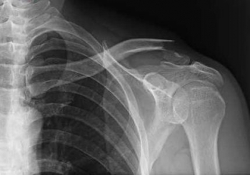
鎖骨骨折
鎖骨骨折は、とても発生頻度が高く、転倒し、肩・肘・手を突いた際に介達外力によるものが多いです。
鎖骨でもっとも骨折しやすい場所は、力学的に弱い中外1/3の境界部です。
直達外力での骨折はまれですが、発生した際、外1/3部(外端部)に発生が多いです。
小児では、不全骨折が多く、変形治癒でも修復力が強く、予後は良好です。
青壮年では、転位が高度になり、第三骨片を生ずる場合があります。
また、整復固定が不完全になると変形治癒が見られます。また、整復位固定が困難で、多くは再転位を残す事があります。
鎖骨骨折は、固定が難しいため、現在では手術でプレートなどで固定する場合が多くなりました。
変形治癒もよく見られるため、特に女性の方は服からはみ出る場所などで、容姿を気にする場所かもしれません。
もしも、鎖骨骨折をしたら、しっかり固定をしてもらいましょう。
体に違和感があるなと思ったら、一人で悩まず、
まずはお電話を 058-213-7927
ご来院をお待ちしております
雨が続き土砂崩れなど被害が起きてますね
コロナに大雨。。。
皆さん、めげずに頑張りましょう。
岐阜市六条東にある鍼灸接骨院、
ながの鍼灸接骨院の院長、長野 有高です。
前回までに頭部、顔面、胸部,、脊椎の骨折についてお話させてもらいました
今日、ご紹介するのは、鎖骨の骨折についてご紹介していきたいと思います。
鎖骨とは
鎖骨は、胸部の上部に左右にあり、胸骨と肩甲骨を連結させて肩構造を支持しています。
内側端で胸骨と関節し(胸鎖関節)、外側端で肩甲骨と関節し(肩鎖関節)をなします。
鎖骨から起始する筋肉は、胸鎖乳突筋、三角筋、大胸筋
鎖骨に停止する筋肉は、鎖骨下筋、僧帽筋 があります。
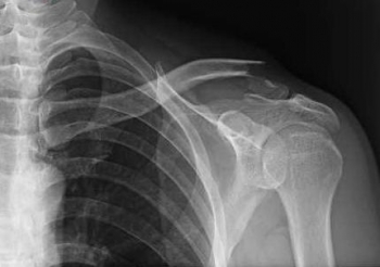
鎖骨骨折
鎖骨骨折は、とても発生頻度が高く、転倒し、肩・肘・手を突いた際に介達外力によるものが多いです。
鎖骨でもっとも骨折しやすい場所は、力学的に弱い中外1/3の境界部です。
直達外力での骨折はまれですが、発生した際、外1/3部(外端部)に発生が多いです。
小児では、不全骨折が多く、変形治癒でも修復力が強く、予後は良好です。
青壮年では、転位が高度になり、第三骨片を生ずる場合があります。
また、整復固定が不完全になると変形治癒が見られます。また、整復位固定が困難で、多くは再転位を残す事があります。
鎖骨骨折は、固定が難しいため、現在では手術でプレートなどで固定する場合が多くなりました。
変形治癒もよく見られるため、特に女性の方は服からはみ出る場所などで、容姿を気にする場所かもしれません。
もしも、鎖骨骨折をしたら、しっかり固定をしてもらいましょう。
体に違和感があるなと思ったら、一人で悩まず、
まずはお電話を 058-213-7927
ご来院をお待ちしております




