- 2017.04.17
- 肘痛 ~上腕骨顆上骨折~

皆さま、こんにちは。
雨もよく降り、桜も散り、花粉はいっぱい飛び、なんだか体が重くなっていませんか?
岐阜市六条東にある鍼灸接骨院、
ながの鍼灸接骨院の院長、長野 有高です。
最近、肘の病気についてお話してますが、どうですか?
筋肉の障害、神経の障害でも、色々な病気がありますよね。。
今日は、肘の筋肉の障害、神経の障害に続いて、骨折のお話しますね。
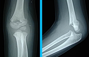
肘の病気、第7回目は上腕骨顆上骨折です。
上腕骨顆上骨折
上腕骨顆上骨折は、上腕骨の遠位端部分(肘の近く)の骨折です。
子供が転倒した時に、腕を伸ばして手を衝くことで、肘に急激な伸展力が加わって骨折したり、肘を屈曲した状態で、肘を衝いた際、骨折する場合があります。
子供に多い骨折のひとつです。
そして、しっかり治さないと後遺症が残ったりするので、治療のむずかしい骨折です。
上腕骨顆上骨折の診断
X線写真が必要です
上腕骨内顆骨折、上腕骨外顆骨折など、類似した骨折もありますし、骨折の折れ方も程度がありますので、必ずX線写真を撮ってください
上腕骨顆上骨折の状態
肘の腫脹、痛み、皮下出血、限局性圧痛、骨折部の異常な可動性・軋轢音が出ます。
骨折部には神経や血管が通っていますので、神経や血管に損傷があると手首の脈拍が弱くなり、手や指のしびれ感、異常感覚、運動障害が起こります。
上腕骨顆上骨折の後遺症
神経の痺れ
フォルクマン拘縮(阻血性拘縮)
四肢の筋肉、血管、神経組織は、筋膜や骨間膜などによって囲まれており、この閉鎖空間をコンパートメントといいます。
外傷などによりコンパートメント内の組織圧が上昇して循環不全を生じ、筋肉、神経組織の壊死(えし)を来してくる病気をコンパートメント症候群といいます。これが前腕屈側に生じたものをフォルクマン拘縮(阻血性拘縮)と呼びます。
内反肘変形
上腕軸と前腕軸が肘関節で一直線にならず,内方 (尺側) に開いてしまう変形です
上腕骨顆上骨折はしっかり治さないと、後遺症が残る難しい病気です。
必ず、病院でレントゲンを撮ってください
もしも、子供が手をついて、肘が腫れてきたら、上腕骨顆上骨折も疑ってくださいね。
肘に違和感があるなと思ったら、一人で悩まず、
まずはお電話を 058-213-7927
ご来院をお待ちしております
雨もよく降り、桜も散り、花粉はいっぱい飛び、なんだか体が重くなっていませんか?
岐阜市六条東にある鍼灸接骨院、
ながの鍼灸接骨院の院長、長野 有高です。
最近、肘の病気についてお話してますが、どうですか?
筋肉の障害、神経の障害でも、色々な病気がありますよね。。
今日は、肘の筋肉の障害、神経の障害に続いて、骨折のお話しますね。
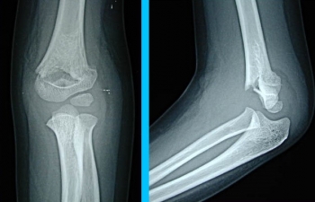
肘の病気、第7回目は上腕骨顆上骨折です。
上腕骨顆上骨折
上腕骨顆上骨折は、上腕骨の遠位端部分(肘の近く)の骨折です。
子供が転倒した時に、腕を伸ばして手を衝くことで、肘に急激な伸展力が加わって骨折したり、肘を屈曲した状態で、肘を衝いた際、骨折する場合があります。
子供に多い骨折のひとつです。
そして、しっかり治さないと後遺症が残ったりするので、治療のむずかしい骨折です。
上腕骨顆上骨折の診断
X線写真が必要です
上腕骨内顆骨折、上腕骨外顆骨折など、類似した骨折もありますし、骨折の折れ方も程度がありますので、必ずX線写真を撮ってください
上腕骨顆上骨折の状態
肘の腫脹、痛み、皮下出血、限局性圧痛、骨折部の異常な可動性・軋轢音が出ます。
骨折部には神経や血管が通っていますので、神経や血管に損傷があると手首の脈拍が弱くなり、手や指のしびれ感、異常感覚、運動障害が起こります。
上腕骨顆上骨折の後遺症
神経の痺れ
フォルクマン拘縮(阻血性拘縮)
四肢の筋肉、血管、神経組織は、筋膜や骨間膜などによって囲まれており、この閉鎖空間をコンパートメントといいます。
外傷などによりコンパートメント内の組織圧が上昇して循環不全を生じ、筋肉、神経組織の壊死(えし)を来してくる病気をコンパートメント症候群といいます。これが前腕屈側に生じたものをフォルクマン拘縮(阻血性拘縮)と呼びます。
内反肘変形
上腕軸と前腕軸が肘関節で一直線にならず,内方 (尺側) に開いてしまう変形です
上腕骨顆上骨折はしっかり治さないと、後遺症が残る難しい病気です。
必ず、病院でレントゲンを撮ってください
もしも、子供が手をついて、肘が腫れてきたら、上腕骨顆上骨折も疑ってくださいね。
肘に違和感があるなと思ったら、一人で悩まず、
まずはお電話を 058-213-7927
ご来院をお待ちしております




