¤´¤¢¤¤¤µ¤Ä

HOME > ¹üÀÞ¡¡¡Á²¼Âܹü¹ü´´Éô¹üÀÞ¡Á
  • 2021.01.18 ¹üÀÞ¡¡¡Á²¼Âܹü¹ü´´Éô¹üÀÞ¡Á
³§ÍÍ¡¢¤ª¤Ï¤è¤¦¤´¤¶¤¤¤Þ¤¹
¼«½ÍÀ¸³è¤ÎÆü¡¹¤¬Â³¤¤¤Æ¤Þ¤¹¤¬¡¢¤¤¤«¤¬¤ª²á¤´¤·¤Ç¤¹¤«¡©
¤³¤ì¤À¤±¼«½ÍÀ¸³è¤¬Â³¤¯¤ÈÂΤ⿴¤â¼«Á³¤ÈÉé²Ù¤¬¤«¤«¤Ã¤Æ¤Þ¤¹¡£
¾¯¤·¤Ç¤âÂΤòư¤«¤·¤¿¤ê¡¢³°¤Î¶õµ¤¤òµÛ¤Ã¤Æµ¤Ê¬Å¾´¹¤·¤¿¤ê¤·¤Æ¤¯¤À¤µ¤¤¤Í
´ôÉì»ÔÏ»¾òÅì¤Ë¤¢¤ë蝹äÀܹü±¡¡¢
¤Ê¤¬¤Î蝹äÀܹü±¡¤Î±¡Ä¹¡¢Ä¹Ìî¡¡Í­¹â¤Ç¤¹¡£

¸½ºß¡¢¿§¡¹¤Ê¹üÀޤˤĤ¤¤Æ¤´¾Ò²ð¤·¤Æ¤¤¤Þ¤¹


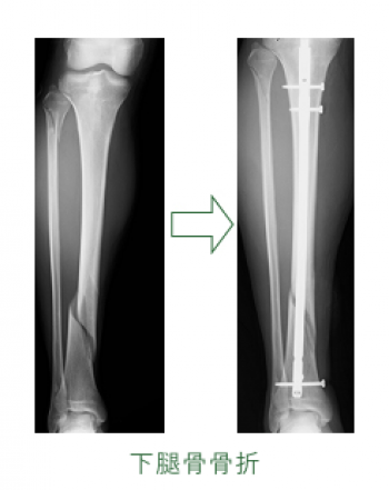
º£Æü¡¢¤´¾Ò²ð¤¹¤ë¤Î¤Ï¡¢²¼Âܹü¹ü´´Éô¹üÀޤˤĤ¤¤Æ¤´¾Ò²ð¤·¤Æ¤¤¤­¤Þ¤¹¡£

²¼Âܹü¹ü´´Éô¹üÀÞ

¸òÄÌ»ö¸Î¡¢¥¹¥Ý¡¼¥Ä¾ã³²¤È¤·¤Æ¤è¤¯¤ß¤ë¹üÀޤǤ¹¡£

¥é¥ó¥Ê¡¼¡¢¥Ð¥¹¥±¥Ã¥È¥Ü¡¼¥ë¡¦¥Ð¥ì¡¼¥Ü¡¼¥ë¤ÎÁª¼ê¡¢¤¦¤µ¤®Ä·¤Ó¤Ê¤É¤Çæú¹ü¤Þ¤¿¤Ï礹ü¤ËÈèÏ«¹üÀÞ¤¬¤ß¤é¤ì¤ë¡£

²¼Âܹü¹ü´´Éô¹üÀÞ¤ÎʬÎà

­¡æú¹üñÆÈ¹üÀޤʤé¤Óæúç¤Î¾¹ü¹üÀÞ

­¢ç¤¹ü¹ü´´Éô¹üÀÞ

­£²¼Âܹü²Ì¾å¹üÀÞ



æú¹üñÆÈ¹üÀޤʤé¤Óæúç¤Î¾¹ü¹üÀÞ

æú¹üñÆÈ¹üÀÞ¤è¤ê¤âæúç¤Î¾¹ü¹üÀÞ¤¬Â¿¤¤¡£

¿¤¯¤Î¹üÀÞ¤Ïæú¹üÃæ¡¦²¼1/3¤Î¶­³¦Éô¤Ëµ¯¤³¤ê¡¢æú¹ü¤¬¹üÀÞ¤¹¤ë¤È礹ü¤â¤³¤ì¤Ëȼ¤Ã¤Æ¹üÀÞ¤¹¤ë¡£

³«ÊüÀ­¹üÀޤˤʤê¤ä¤¹¤¯¡¢¹üÌþ¹ç¤¬¤·¤Ë¤¯¤¯¡¢È¿Ä¥²¼ÂܤʤɤÎÊÑ·Á¤ò»Ä¤¹¤³¤È¤¬Â¿¤¤¡£

æú¹üñÆÈ¹üÀޤʤé¤Óæúç¤Î¾¹ü¹üÀÞ¤ÎȯÀ¸µ¡½ø

ľã³°ÎÏ

¸òÄÌ»ö¸Î¡¢¹â½ê¤è¤êÄÆÍî¡¢½ÅÎÌʪ¤ÎÍî²¼¤Ê¤É¤Ë¤è¤êµ¯¤­¤ë¡£Î¾¹ü¹üÀޤǤϡ¢¹üÀÞÉô°Ì¤¬¤Û¤È¤ó¤ÉƱ¹â°Ì¤È¤Ê¤ë¡£

²ðã³°ÎÏ

¥¹¥Ý¡¼¥Ä»þ¤ÎžÅݤ䡢­Éô¤ò¸ÇÄꤷ¤¿¤Þ¤ÞÂδ´¤ÎDZž¡¢Â­Éô¤ÎDZž¶¯À©¤Ê¤É¤Ë¤è¤ê¡¢¤æ¤ë¤¤·¹¼Ð¤Î¼Ð¹üÀÞ¤äÍæÀû¾õ¹üÀÞ¤òµ¯¤³¤¹¡£

æú¹üñÆÈ¹üÀޤʤé¤Óæúç¤Î¾¹ü¹üÀޤθå°ä¾É

ȿĥ²¼ÂÜ¡¢³°È¿¡¦ÆâÈ¿²¼ÂܤʤɤÎÊÑ·Á¼£Ìþ

Á«±ä¼£Ìþ¤äµ¶´ØÀá

¶Ú°Ñ½Ì¡¢ËýÀ­Éâ¼ð¤Ê¤É



礹ü¹ü´´Éô¹üÀÞ

礹ü¤ÎñÆÈ¹üÀޤϡ¢æú¹ü¤¬Éû»Ò¤È¤Ê¤ë¤Î¤Ç¡¢¤Û¤È¤ó¤Éž°Ì¤·¤Þ¤»¤ó

¼ç¤È¤·¤ÆÄ¾Ã£³°ÎÏ

¾É¾õ¤È¤·¤Æ¤Ï

¶É½ê¤Î¼ðı¡¢¸Â¶ÉÀ­°µÄË¡¢¾É¾õ¤¬·ÚÈù¤Ê¤éÊâ¹Ô¤¬²Äǽ¡£



²¼Âܹü²Ì¾å¹üÀÞ

µ÷ÂÜ´ØÀá¤Î¾åÊý¡¢¥á¥¿¥Õ¥£¡¼¥¼ÉÕ¶á¤Î¹üÀÞ

æú¹üñÆÈ¹üÀÞ¤¬Â¿¤¤¤¬¡¢ç¤¹ü¤¬Æ±»þ¤Ë¹üÀÞ¤¹¤ë¤³¤È¤â

Íľ¯´ü¤Ë¤³¤ÎÉô¤Î¹üüÀþÎ¥³«¤òµ¯¤³¤¹¤³¤È¤â¤¢¤ë¡£

²ÌÉô¹üÀÞ¤ò¹çÊ»¤¹¤ë¤È¾É¾õ¤¬Ê£»¨¡£

ȯÀ¸µ¡½ø

¿¤¯¤Ï²ðã³°ÎϤǡ¢

¹â½ê¤è¤êÈô¤Ó¹ß¤ê¡¢æú¹ü¤ËĹ¼´¾×·â¤ò¼õ¤±¡¢Æ±»þ¤Ë¦Êý¶þ¶Ê¤¬²Ã¤ï¤ë

²Ì¾åÉô¤Ë³°Å¾ÎÏ

­Éô¤¬¸ÇÄꤵ¤ì¤ÆÇ±Å¾

¾É¾õ

¹üÀÞÉô¤Î¼ðı¡¢¸Â¶ÉÀ­°µÄËÃøÌÀ




²¼Âܹü¹ü´´Éô¤Î¹üÀޤϡ¢Ç¯Îð¤È¤¤¤¦¤«¸òÄÌ»ö¸Î¡¢¹â½ê¤«¤é¤ÎÍî²¼¡¢¥¹¥Ý¡¼¥Ä¤Ê¤É¤Ë¤è¤ë¤â¤Î¤¬Â¿¤¤¤Ç¤¹¡£
³§¤µ¤ó¡¢²ø²æ¤Ë¤ÏÃí°Õ¤·¤Þ¤·¤ç¤¦¤Í


¼¡²ó¤Ï¡¢²¼Âܹü±ó°ÌüÉô¤Î¹üÀޤˤĤ¤¤Æ¤ªÏ䵤»¤Æ¤â¤é¤¤¤Þ¤¹¤Í

ÂΤ˰ãÏ´¶¤¬¤¢¤ë¤Ê¤È»×¤Ã¤¿¤é¡¢°ì¿Í¤ÇǺ¤Þ¤º¡¢
¤Þ¤º¤Ï¤ªÅÅÏäò¡¡£°£µ£¸¡Ý£²£±£³¡Ý£·£¹£²£·

¤´Í象¤ò¤ªÂÔ¤Á¤·¤Æ¤ª¤ê¤Þ¤¹
Á°¤Îµ­»ö ¼¡¤Îµ­»ö µ­»ö°ìÍ÷¤Ø

¢¥¥Ú¡¼¥¸¤Î¥È¥Ã¥×¤ËÌá¤ë

¥µ¡¼¥Ó¥¹¾Ò²ð¡ª

Àܹü¤Ë¤Ä¤¤¤Æ

¹üÀÞ¡¢Ã¦±±¡¢Ç±ºÃ¡¢ÂÇËФʤɤγ°½ý¤«¤é¡¢¿²°ã¤¤¡¢¸Þ½½¸ª¡¢É¨ÄË¡¢¹ø¤ÎÄˤߤޤǡ¢¤Þ¤º¤Ï¤´ÁêÃ̤¯¤À¤µ¤¤¡£

蝹伣ÎŤˤĤ¤¤Æ

¸ª¤³¤ê¡¢¹øÄË¡¢É¨Äˤ«¤éƬÄË¡¢ÊØÈë¡¢²¼Î¡¡¢Î䤨À­¡¢Â­¤Î¤à¤¯¤ß¡¢´ãÀºÈèÏ«Åù¤Þ¤Ç¡¢ïªµä¤Ç¤ªÇº¤ß¤ò²ò·è¤·¤Þ¤¹¡£

½÷À­¤Ë¿Íµ¤¤Ë¤Ä¤¤¤Æ

¼ª¥Ä¥Ü¥À¥¤¥¨¥Ã¥È¤ä´é¥Þ¥Ã¥µ¡¼¥¸¡õ瑱¢¹üÈ×¶ºÀµ¡¢µÛ¶Ì¤Ê¤É¡¢½÷À­¤Ë¿Íµ¤¤Î¥µ¡¼¥Ó¥¹¤â¹Ô¤Ã¤Æ¤ª¤ê¤Þ¤¹¡£

¤â¤·¤â¡¢¸òÄÌ»ö¸Î¤ËÁø¤Ã¤Æ¤·¤Þ¤Ã¤¿¤é

  • ¤è¤¯¤¢¤ë¼ÁÌä
  • ´µ¼ÔÍͤÎÀ¼
  • ½é¤á¤Æ¤ÎÊý¤Ø
  • ¥Ö¥í¥°
  • ½é¤á¤Æ¤ÎÊý¤Ø¤ªÆÀ¤ÊÆÃŵ ¤Ï¤ê¤­¤å¤¦ÌµÎÁ¤Þ¤¿¤ÏÁÆÉʥץ쥼¥ó¥È

¤Ê¤¬¤Î蝹äÀܹü±¡

¢©500-8353
´ôÉ츩´ôÉì»ÔÏ»¾òÅì1ÃúÌÜ2ÈÖÃÏ22

±Ä¶È»þ´Ö
Ê¿Æü ¸áÁ° / 8:30¡Á12:00
¡¡¡¡¡¡ ¸á¸å / 15:30¡Á20:00
ÅÚÍË ¸áÁ° / 8:30¡Á12:00
¡¡¡¡¡¡ ¸á¸å / 14:00¡Á17:00¡¡

ÄêµÙÆü
¿åÍ˸á¸å¡¢ÆüÍË¡¢½ËÆü

ÅÅÏÃÈÖ¹æ
058-213-7927

¾Ü¤·¤¯¤Ï¤³¤Á¤é