ごあいさつ

HOME > 骨折 〜鎖骨〜
  • 2020.07.13 骨折 〜鎖骨〜
皆様、おはようございます
雨が続き土砂崩れなど被害が起きてますね
コロナに大雨。。。
皆さん、めげずに頑張りましょう。
岐阜市六条東にある鍼灸接骨院、
ながの鍼灸接骨院の院長、長野 有高です。

前回までに頭部、顔面、胸部,、脊椎の骨折についてお話させてもらいました

今日、ご紹介するのは、鎖骨の骨折についてご紹介していきたいと思います。

鎖骨とは

鎖骨は、胸部の上部に左右にあり、胸骨と肩甲骨を連結させて肩構造を支持しています。

内側端で胸骨と関節し(胸鎖関節)、外側端で肩甲骨と関節し(肩鎖関節)をなします。

鎖骨から起始する筋肉は、胸鎖乳突筋、三角筋、大胸筋

鎖骨に停止する筋肉は、鎖骨下筋、僧帽筋   があります。


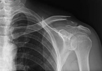
鎖骨骨折

鎖骨骨折は、とても発生頻度が高く、転倒し、肩・肘・手を突いた際に介達外力によるものが多いです。

鎖骨でもっとも骨折しやすい場所は、力学的に弱い中外1/3の境界部です。

直達外力での骨折はまれですが、発生した際、外1/3部(外端部)に発生が多いです。

小児では、不全骨折が多く、変形治癒でも修復力が強く、予後は良好です。

青壮年では、転位が高度になり、第三骨片を生ずる場合があります。

また、整復固定が不完全になると変形治癒が見られます。また、整復位固定が困難で、多くは再転位を残す事があります。



鎖骨骨折は、固定が難しいため、現在では手術でプレートなどで固定する場合が多くなりました。
変形治癒もよく見られるため、特に女性の方は服からはみ出る場所などで、容姿を気にする場所かもしれません。
もしも、鎖骨骨折をしたら、しっかり固定をしてもらいましょう。



体に違和感があるなと思ったら、一人で悩まず、
まずはお電話を 058−213−7927

ご来院をお待ちしております
前の記事 次の記事 記事一覧へ

▲ページのトップに戻る

サービス紹介!

接骨について

骨折、脱臼、捻挫、打撲などの外傷から、寝違い、五十肩、膝痛、腰の痛みまで、まずはご相談ください。

鍼灸治療について

肩こり、腰痛、膝痛から頭痛、便秘、下痢、冷え性、足のむくみ、眼精疲労等まで、鍼灸でお悩みを解決します。

女性に人気について

耳ツボダイエットや顔マッサージ&鍼、骨盤矯正、吸玉など、女性に人気のサービスも行っております。

もしも、交通事故に遭ってしまったら

  • よくある質問
  • 患者様の声
  • 初めての方へ
  • ブログ
  • 初めての方へお得な特典 はりきゅう無料または粗品プレゼント

ながの鍼灸接骨院

〒500-8353
岐阜県岐阜市六条東1丁目2番地22

営業時間
平日 午前 / 8:30〜12:00
    午後 / 15:30〜20:00
土曜 午前 / 8:30〜12:00
    午後 / 14:00〜17:00 

定休日
水曜午後、日曜、祝日

電話番号
058-213-7927

詳しくはこちら